TP.HCM muốn xây Bệnh viện Chấn thương đầu tiên tại Việt Nam, quy mô hơn 4.200 tỉ đồng
Trước thực trạng quá tải nghiêm trọng của Bệnh viện Chấn thương chỉnh hình, UBND TP.HCM đề xuất xây dựng Bệnh viện Chấn thương đầu tiên tại Việt Nam.
Có nên cắt tuyến giáp để phòng ung thư?
18:00 24/12/2025
Tỉ lệ mắc ung thư tuyến giáp đang tăng nhanh chóng hơn bất kỳ loại ung thư nào khác trên thế giới, trở thành...
Tin mừng cho người thích uống trà
18:00 24/12/2025
Cho dù là để giảm cân, cải thiện tiêu hóa hay chỉ để thưởng thức hương vị đặc trưng, trà xanh cũng cần được...
Triệu chứng của huyết áp cao biểu hiện ở mắt
18:00 24/12/2025
Đốm máu trong mắt, mắt đỏ, mờ, thậm chí mất thị lực có thể là một số dấu hiệu huyết áp cao không phải...
Điều gì xảy ra khi ăn chay trường?
12:01 24/12/2025
Ăn chay trường không chỉ dành riêng cho Phật tử mà ngày càng được nhiều người lựa chọn như cách để bảo vệ sức...
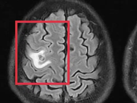
Món khoái khẩu khiến sán bám chi chít trong não người đàn ông
12:01 24/12/2025
Nhập viện vì co giật và đau đầu, bệnh nhân được phát hiện tổn thương não dễ nhầm lẫn với u, nhưng nguyên nhân...
NSƯT Phi Điểu nhập viện do nhiễm trùng huyết, nhiều bệnh nền
12:01 24/12/2025
NSƯT Phi Điểu (92 tuổi) đang được điều trị và chăm sóc tại Bệnh viện Thống Nhất do nhiễm trùng huyết trên nền nhiều...
Giám đốc Sở Y tế Quảng Ninh được bổ nhiệm làm Giám đốc Sở Y tế Hà Nội
12:01 24/12/2025
Sau gần 2 năm ghế Giám đốc Sở Y tế Hà Nội bỏ trống, chỉ có Phó giám đốc phụ trách, ngày 23-12, Chủ...
TP.HCM ghi nhận 102 người nghi ngộ độc sau khi ăn bánh mì
12:01 24/12/2025
Sự cố liên quan đến một tiệm bánh mì trên địa bàn phường Phú Mỹ đang được cơ quan chức năng làm rõ, trong...
Bỏ ăn 3 tuần để chữa ung thư, người đàn ông sụt 14kg, sức khỏe suy kiệt
12:01 24/12/2025
Người đàn ông 64 tuổi được phát hiện có khối u tụy xâm lấn mạch máu tại một số cơ sở y tế. Trong...
Bệnh lây qua đường tình dục ngày càng phức tạp ở Việt Nam
12:00 24/12/2025
Không còn là câu chuyện cá biệt, các bệnh lây qua đường tình dục đang gia tăng nhanh, với nhiều ca đồng nhiễm và...
Kinh dị sán dây chó làm tổ trong não người đàn ông, gây tê tay, co giật
12:00 24/12/2025
Nam bệnh nhân nhập viện trong tình trạng co giật, đau đầu, những biểu hiện dễ khiến nhiều người nghĩ đến u não.
Tưởng vô hại, các vết rạn trên răng có thể gây rắc rối lớn
12:00 24/12/2025
Không gây đau hay ê buốt, những vết rạn trên răng đang xuất hiện ngày càng sớm và có thể kéo theo nhiều vấn...
Thịt đỏ tốt cho sức khỏe nhưng vì sao không nên ăn nhiều?
12:00 24/12/2025
Thịt đỏ (thịt bò, thịt lợn, thịt bê và thịt cừu) là món chính phổ biến trong ẩm thực. Tuy nhiên, tiêu thụ quá...
Tin đọc nhiều
Nguyên nhân, triệu chứng, phòng bệnh viêm đài bể thận
Top 3 Xưởng đúc đồ thờ cúng bằng đồng uy tín nhất Nam Định
Pharmacity hỗ trợ tầm soát miễn phí hen phế quản và COPD
Một bộ phận của ốc tuyệt đối không nên ăn
Angelina Jolie thu hút khi đeo trâm cài ở Venice
Mỗi phút tiếp xúc ánh sáng xanh phá hủy hàng triệu tế bào nhãn cầu
Măng tây có giá trị dinh dưỡng nhiều đến mức nào?
Dấu hiệu sớm của ung thư ruột non
Đang làm rõ ca tử vong sau thay van động mạch chủ qua da liên quan bác sĩ Bệnh viện Bạch Mai
Thị trấn ở nơi tận cùng thế giới
Tại sao phụ nữ thường đau đường ruột nặng hơn nam giới?
Phát hiện 1 phòng khám chưa có giấy phép đã 3 lần đổi tên, loại hình kinh doanh
Biến chứng nguy hiểm khi chích silicon làm to 'cậu nhỏ'
Đường lây của bệnh bạch hầu
Chế tạo vaccine 'đón đầu' mọi chủng virus Corona
Thám hiểm lòng hố sụt trong công viên địa chất Non Nước
Tức giận và thức khuya làm hại gan ra sao?
Bố mẹ thấp nhưng con cao lớn nhờ điều này

Hà Nội: Mãn nhãn sân chơi Cây cảnh nghệ thuật triệu đô tại Ninh Hiệp
18:00 21/02/2023

Trải nghiệm “văn hoá lẩu” độc đáo tại xứ Đài
08:49 24/12/2024

Chương trình nghệ thuật “Hương Sắc Thủ Đô 2024”
14:40 09/12/2024

Cách phối dép lê trông sang ngày hè
01:00 10/07/2025

Trang phục đơn sắc của 'Mỹ nhân cười đẹp nhất Hàn Quốc'
01:00 10/07/2025

Tiệm bánh mì hấp lưu giữ hương vị một thời Sài Gòn
01:00 10/07/2025

Công viên nước Hà Nam ưu đãi combo vé và ẩm thực cho du khách
01:00 10/07/2025

Những điểm nên đến bên ngoài TP Huế
01:00 10/07/2025

Khách Việt đang đi đâu nhiều nhất tại châu Á?
01:00 10/07/2025

Vì sao tim đập nhanh, tăng huyết áp sau uống cà phê?
12:01 24/01/2026

Bộ Y tế buộc thu hồi và tiêu hủy 9 loại mỹ phẩm
12:00 02/12/2025

Những trải nghiệm không thể bỏ lỡ tại Flagship Cocolux Cầu Giấy
18:00 01/12/2025







































