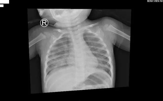
Bé trai 1 tuổi ở TP.HCM nhập viện vì hít dầu để thắp đèn
Nhập viện trong tình trạng khó thở, tím tái, bệnh nhi được chẩn đoán viêm phổi, tổn thương lan toả 2 phế trường gây suy hô hấp nặng.
7 dấu hiệu vào buổi sáng cảnh báo gan không khỏe
18:06 09/11/2024
Nếu thường xuyên thấy xuất hiện những dấu hiệu này khi thức dậy vào buổi sáng, bạn cần nhanh chóng đi khám gan càng...
Loại ung thư nhiều người mắc nhất ở Việt Nam
18:06 09/11/2024
Mỗi năm, nước ta ghi nhận khoảng 24.583 ca mắc mới ung thư vú, chiếm 28,9% tổng số các bệnh ung thư ở nữ...
Tập thể dục chân trần có tốt không?
18:06 09/11/2024
Không thể phủ nhận vai trò của những loại giày cần thiết khi tham gia các hoạt động thể thao. Tuy nhiên, theo Women’s...
4 hành động của ba mẹ có thể khiến bệnh xuất huyết của trẻ nặng hơn
18:06 09/11/2024
Hầu hết trẻ bị sốt xuất huyết có thể được điều trị tại nhà. Tuy nhiên, nếu không được chăm sóc đúng cách, bệnh...
7 lợi ích bất ngờ từ lá ổi không phải ai cũng biết
12:13 09/11/2024
Lá ổi được mệnh danh là “thần dược” nguồn gốc từ thiên nhiên bởi chứa chất chống oxy hóa, các chất kháng khuẩn, chống...
4 tác nhân gây ngộ độc thực phẩm khi mang thai
12:13 09/11/2024
Gần đây xảy ra rất nhiều vụ ngộ độc thực phẩm nghiêm trọng khiến tôi rất lo lắng vì đang mang thai. Xin hỏi...
Bộ Y tế chỉ đạo khẩn sau phản ảnh bát nháo khám sức khỏe để đi nước ngoài của Tuổi Trẻ
12:13 09/11/2024
Chiều tối 8-11, Cục Quản lý khám, chữa bệnh (Bộ Y tế) có văn bản khẩn gửi Bệnh viện Giao thông vận tải và...
Một dấu hiệu giúp nhận biết trẻ mắc tay chân miệng trở nặng
12:13 09/11/2024
Dù là căn bệnh thường gặp, tay chân miệng vẫn dẫn đến các biến chứng nguy hiểm như phù phổi cấp, viêm cơ tim,...
Da cảnh báo hàng loạt bệnh lý nguy hiểm khi trời hanh khô
12:13 09/11/2024
Ngứa là tình trạng nhiều người hay gặp trong thời tiết lạnh, hanh khô. Ngứa kèm nổi mẩn đỏ cũng có thể là tín...
20 trẻ nghi ngộ độc thuốc diệt chuột ở Lai Châu đã xuất viện
12:13 09/11/2024
Ngày 8-11, thông tin từ Bệnh viện Đa khoa tỉnh Lai Châu cho biết 20 trẻ nghi ngộ độc thuốc diệt chuột ở huyện...
Răng mọc ở trong mũi hiếm gặp
12:12 09/11/2024
Theo các bác sĩ, răng mọc lạc chỗ trong sàn mũi là trường hợp rất hiếm gặp. Mầm răng không hướng xuống dưới mà...
Một số loại trái cây có thể gây độc hại nếu ăn khi đang uống thuốc
12:12 09/11/2024
Ăn trái cây rất tốt cho sức khỏe, nhất là khi đau ốm vì nó cung cấp nhiều vitamin và các khoáng chất. Tuy...
Phát hiện ổ dịch chó dại thả rông cắn người ở Đồng Nai
00:01 09/11/2024
Một con chó thả rông, vô chủ đã cắn 4 người ở huyện Long Thành.
Tin đọc nhiều
Nguyên nhân, triệu chứng, phòng bệnh viêm đài bể thận
Top 3 Xưởng đúc đồ thờ cúng bằng đồng uy tín nhất Nam Định
Pharmacity hỗ trợ tầm soát miễn phí hen phế quản và COPD
Một bộ phận của ốc tuyệt đối không nên ăn
Angelina Jolie thu hút khi đeo trâm cài ở Venice
Mỗi phút tiếp xúc ánh sáng xanh phá hủy hàng triệu tế bào nhãn cầu
Măng tây có giá trị dinh dưỡng nhiều đến mức nào?
Dấu hiệu sớm của ung thư ruột non
Đang làm rõ ca tử vong sau thay van động mạch chủ qua da liên quan bác sĩ Bệnh viện Bạch Mai
Thị trấn ở nơi tận cùng thế giới
Căn bệnh đang bùng phát khiến nhiều gia đình căng thẳng, hoảng sợ
Phát hiện 1 phòng khám chưa có giấy phép đã 3 lần đổi tên, loại hình kinh doanh
Biến chứng nguy hiểm khi chích silicon làm to 'cậu nhỏ'
Đường lây của bệnh bạch hầu
Chế tạo vaccine 'đón đầu' mọi chủng virus Corona
Thám hiểm lòng hố sụt trong công viên địa chất Non Nước
Tức giận và thức khuya làm hại gan ra sao?
Bố mẹ thấp nhưng con cao lớn nhờ điều này

Hà Nội: Mãn nhãn sân chơi Cây cảnh nghệ thuật triệu đô tại Ninh Hiệp
18:00 21/02/2023

Trải nghiệm “văn hoá lẩu” độc đáo tại xứ Đài
08:49 24/12/2024

Chương trình nghệ thuật “Hương Sắc Thủ Đô 2024”
14:40 09/12/2024

Cách phối dép lê trông sang ngày hè
01:00 10/07/2025

Trang phục đơn sắc của 'Mỹ nhân cười đẹp nhất Hàn Quốc'
01:00 10/07/2025

Tiệm bánh mì hấp lưu giữ hương vị một thời Sài Gòn
01:00 10/07/2025

Công viên nước Hà Nam ưu đãi combo vé và ẩm thực cho du khách
01:00 10/07/2025

Những điểm nên đến bên ngoài TP Huế
01:00 10/07/2025

Khách Việt đang đi đâu nhiều nhất tại châu Á?
01:00 10/07/2025

NMN Premium - hỗ trợ tăng sức đề kháng, cải thiện lão hoá da
12:00 20/11/2025

Giới trẻ truyền tai nhau về DIINBI, trend chăm sóc da mới là đây?
18:00 18/11/2025

Bỏng đầu khi uốn tóc
18:00 08/11/2025







































