Dấu hiệu chứng tỏ bạn nhiễm giun đũa chó mèo
Những người bị nhiễm giun đũa chó mèo thường viêm mắt, thở khò khè, đau bụng và gan to.
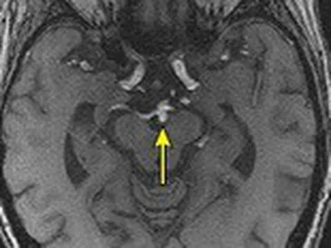
Làm sao để phát hiện phình động mạch não và khi nào cần điều trị?
18:06 07/11/2024
Phình động mạch não là một tình trạng nguy hiểm được ví như 'kẻ giết người thầm lặng', có thể gây tử vong. Vậy...
Thói quen 'tàn phá' xương khớp người trẻ thường mắc
18:06 07/11/2024
Bẻ khớp ngón tay, ngồi bắt chéo chân... là những thói quen tưởng chừng vô hại song lại là yếu tố gây ảnh hưởng...
Những dấu hiệu cho thấy trẻ thiếu canxi
18:06 07/11/2024
Việc nhận biết các dấu hiệu thiếu canxi rất cần thiết để can thiệp kịp thời và ngăn ngừa biến chứng lâu dài.
7 loại virus có thể dẫn đến ung thư nên biết
18:06 07/11/2024
Tác động của một số loại virus lên cơ thể làm các tế bào mất kiểm soát và biến thành khối u ác tính....
Nhập viện đau đớn sau khi thuê thợ cắt bao quy đầu tại nhà
18:06 07/11/2024
Sau khi cắt bao quy đầu ở chỗ thợ xăm, nam thanh niên bị chảy máu không ngừng, dương vật bầm tím vì tụ...
Ô nhiễm không khí liên quan đến học tập và trí nhớ kém ở trẻ em
18:06 07/11/2024
Một nghiên cứu mới với sự tham gia của 8.500 trẻ em từ khắp nơi trên nước Mỹ đã tiết lộ rằng một dạng...
Ăn bao nhiêu đường một ngày là đủ?
18:06 07/11/2024
Ăn hoặc uống đồ ngọt quá nhiều có thể dẫn đến bệnh tim mạch, gout, tiểu đường, béo phì… Chuyên gia chỉ ra lượng...
Cách nhỏ thuốc khi bị đau mắt đỏ
18:06 07/11/2024
Khi bị đau mắt đỏ, người bệnh nên sử dụng nước muối sinh lý (natri clorua 0,9%) hoặc nước cất để rửa mắt.
Vì sao Sở Y tế TP.HCM từ chối tiếp nhận hai cơ sở Bệnh viện Giao thông vận tải?
18:06 07/11/2024
Bệnh viện Giao thông vận tải TP.HCM trực thuộc Cục Y tế giao thông vận tải có ba cơ sở, nhưng đến nay TP.HCM...
Hắt hơi sổ mũi có nên dùng kháng sinh?
18:06 07/11/2024
Hắt hơi sổ mũi gây khó chịu và nhiều bất tiện trong sinh hoạt hàng ngày. Nên làm gì khi bị hắt hơi sổ...
Xét nghiệm ung thư nhanh và rẻ chỉ từ một giọt máu
18:06 07/11/2024
Theo SciTechDaily, phương pháp xét nghiệm ung thư này sử dụng màng siêu mỏng để thu giữ các túi ngoại bào.
Nhiễm sán chó là gì?
13:02 07/11/2024
Nhiều người có cảm giác mẫn ngứa rải rác toàn thân, không biết mình bị nhiễm sán chó cho đến khi được xét nghiệm...
Trữ tinh trùng của nam giới có an toàn?
12:01 07/11/2024
Bận rộn phát triển sự nghiệp, kết hôn muộn, lo ngại mắc bệnh tật khi tuổi tác gia tăng, hay gặp rắc rối trong...
Tin đọc nhiều
Nguyên nhân, triệu chứng, phòng bệnh viêm đài bể thận
Top 3 Xưởng đúc đồ thờ cúng bằng đồng uy tín nhất Nam Định
Pharmacity hỗ trợ tầm soát miễn phí hen phế quản và COPD
Một bộ phận của ốc tuyệt đối không nên ăn
Angelina Jolie thu hút khi đeo trâm cài ở Venice
Mỗi phút tiếp xúc ánh sáng xanh phá hủy hàng triệu tế bào nhãn cầu
Măng tây có giá trị dinh dưỡng nhiều đến mức nào?
Dấu hiệu sớm của ung thư ruột non
Đang làm rõ ca tử vong sau thay van động mạch chủ qua da liên quan bác sĩ Bệnh viện Bạch Mai
Thị trấn ở nơi tận cùng thế giới
Căn bệnh đang bùng phát khiến nhiều gia đình căng thẳng, hoảng sợ
Phát hiện 1 phòng khám chưa có giấy phép đã 3 lần đổi tên, loại hình kinh doanh
Biến chứng nguy hiểm khi chích silicon làm to 'cậu nhỏ'
Đường lây của bệnh bạch hầu
Chế tạo vaccine 'đón đầu' mọi chủng virus Corona
Thám hiểm lòng hố sụt trong công viên địa chất Non Nước
Tức giận và thức khuya làm hại gan ra sao?
Bố mẹ thấp nhưng con cao lớn nhờ điều này

Hà Nội: Mãn nhãn sân chơi Cây cảnh nghệ thuật triệu đô tại Ninh Hiệp
18:00 21/02/2023

Trải nghiệm “văn hoá lẩu” độc đáo tại xứ Đài
08:49 24/12/2024

Chương trình nghệ thuật “Hương Sắc Thủ Đô 2024”
14:40 09/12/2024

Cách phối dép lê trông sang ngày hè
01:00 10/07/2025

Trang phục đơn sắc của 'Mỹ nhân cười đẹp nhất Hàn Quốc'
01:00 10/07/2025

Tiệm bánh mì hấp lưu giữ hương vị một thời Sài Gòn
01:00 10/07/2025

Công viên nước Hà Nam ưu đãi combo vé và ẩm thực cho du khách
01:00 10/07/2025

Những điểm nên đến bên ngoài TP Huế
01:00 10/07/2025

Khách Việt đang đi đâu nhiều nhất tại châu Á?
01:00 10/07/2025

NMN Premium - hỗ trợ tăng sức đề kháng, cải thiện lão hoá da
12:00 20/11/2025

Giới trẻ truyền tai nhau về DIINBI, trend chăm sóc da mới là đây?
18:00 18/11/2025

Bỏng đầu khi uốn tóc
18:00 08/11/2025







































